ΚΛΙΝΙΚΑ ΠΕΡΙΣΤΑΤΙΚΑ

Aνώδυνη οδοντιατρική θεραπεία!  

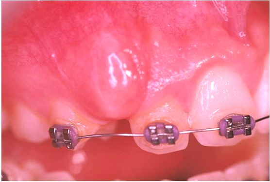
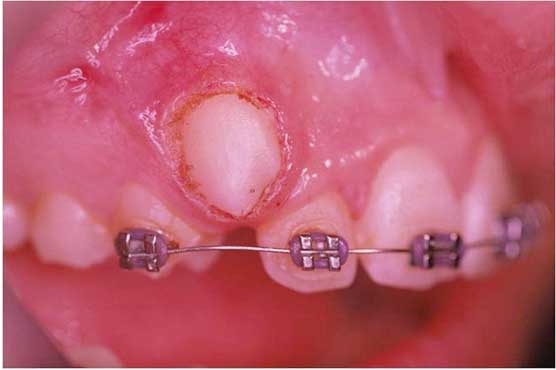
1. Αποκάλυψη έγκλειστου κυνόδοντα:

Νεαρός ασθενής που βρισκόταν υπό ορθοδοντική θεραπεία εμφάνιζε έγκλειστο τον κυνόδοντα άνω αριστερά.
Με τη χρήση του Nd-Yag laser έγινε αποκάλυψη του κυνόδοντα, ώστε να γίνει δυνατή η ορθοδοντική μετακίνηση (μετοποθέτηση αγκυλίου-Bracket) 

ΑΠΟΚΑΛΥΨΗ ΕΓKΛEIΣΤΟΥ ΚΥΝΟΔΟΝΤΑ

Αρχική κλινική εικόνα

ΑΠΟΚΑΛΥΨΗ ΕΓKΛEIΣΤΟΥ ΚΥΝΟΔΟΝΤΑ

Μετά την αποκάλυψη

2. Αφαίρεση μελανών χρωστικών:

Η ασθενής προσήλθε στο ιατρείο μας με την επιθυμία να αφαιρεθούν μελανές χρωστικές στα ούλα της.
Έγινε εφαρμογή Nd – Yag και η κλινική εικόνα της επούλωσης ήδη από τον πρώτο μήνα είναι άριστη. 

ΑΦΑΙΡΕΣΗ ΜΕΛΑΝΩΝ ΧΡΩΣΤΙΚΩΝ - ΑΡΧΙΚΗ ΕΙΚΟΝΑ

ΑΦΑΙΡΕΣΗ ΜΕΛΑΝΩΝ ΧΡΩΣΤΙΚΩΝ (ΚΑΤΑ ΤΗΝ ΕΠΟΥΛΩΣΗ)

ΑΦΑΙΡΕΣΗ ΜΕΛΑΝΩΝ ΧΡΩΣΤΙΚΩΝ (ΤΕΛΙΚΗ ΕΠΟΥΛΩΣΗ)

3. Ελκονεκρωτική ουλίτιδα σε έδαφος περιοδοντίτιδας

Η ασθενής ετών 29 προσήλθε στο ιατρείο μας παραπονούμενη για αυτόματη αιμορραγία και έντονο πόνο στα ούλα, αδυναμία βουρτσίσματος και μεγάλη δυσοσμία στόματος. Στην κλινική εξέταση παρατηρήθηκαν έλκη και απώλεια των μεσοδοντίων θηλών, ιδιαίτερα στα πρόσθια δόντια, καθώς και μεγάλη παρουσία μικροβιακού παράγοντα. Παράλληλα, κατά την ακτινολογική εξέταση διαπιστώθηκε οστική απώλεια ιδιαίτερα στα πρόσθια δόντια της κάτω γνάθου και στα οπίσθια άνω και κάτω γνάθου.

 

Μετά τη συντηρητική περιοδοντική θεραπεία, εμφανής είναι η απουσία φλεγμονής και η αποκατάσταση των μεσοδοντίων θηλών.

ΕΛΚΟΝΕΚΡΩΤΙΚΗ ΟΥΛΙΤΙΔΑ - ΑΡΧΙΚΗ ΚΑΤΑΣΤΑΣΗ 

ΕΛΚΟΝΕΚΡΩΤΙΚΗ ΟΥΛΙΤΙΔΑ - ΤΕΛΙΚΗ ΚΑΤΑΣΤΑΣΗ 

4. Εμφυτεύματα στην αισθητική ζώνη

Τοποθέτηση εμφυτεύματος στην πρόσθια (αισθητική) ζώνη. Ασθενής ετών 30 προσήλθε στο ιατρείο παραπονούμενη για πόνο, οίδημα και πυορροή στον κεντρικό τομέα άνω δεξιά. 

Το δόντι είχε κακή πρόγνωση (κάταγμα ρίζας) και για το λόγο αυτό έγινε εξαγωγή και ταυτόχρονα δημιουργία νέου οστού με τοποθέτηση μοσχεύματος και μεμβράνης (οστική ανάπλαση). Μεθύστερα, τοποθετήθηκε εμφύτευμα και η επούλωση κρίθηκε απολύτως επιτυχής. 

ΑΡΧΙΚΗ ΚΛΙΝΙΚΗ ΕΙΚΟΝΑ   

ΧΑΜΟΓΕΛΟ ΑΣΘΕΝΟΥΣ (ΑΡΧΙΚΗ ΕΙΚΟΝΑ) 

ΕΠΟΥΛΩΣΗ ΜΕΤΑ ΤΗΝ ΑΝΑΠΛΑΣΗ

ΤΕΛΙΚΗ ΕΙΚΟΝΑ ΑΣΘΕΝΟΥΣ (3 ΜΗΝΕΣ ΜΕΤΑ) 

ΤΕΛΙΚΗ ΕΙΚΟΝΑ ΑΣΘΕΝΟΥΣ (3 ΜΗΝΕΣ ΜΕΤΑ) 

ΤΕΛΙΚΗ ΑΚΤΙΝΟΛΟΓΙΚΗ ΕΙΚΟΝΑ 

5. Εμφυτεύματα στην οπίσθια ζώνη (άνω και κάτω γνάθου)

Ασθενής ετών 55 προσήλθε στο ιατρείο για να αποκατασταθούνε τα οπίσθια δόντια της άνω και κάτω γνάθου, για λειτουργικούς, κυρίως, λόγους (μάσηση). 

Ακολούθησε τοποθέτηση εννέα εμφυτευμάτων μετά από δημιουργία οστού (ανάπλαση) με οστικά μοσχεύματα και μεμβράνες στις οπίσθιες περιοχές. 

Η ασθενής είναι ιδιαίτερα ευχαριστημένη με το τελικό αποτέλεσμα τόσο όσο αφορά τη μάσηση (λειτουργία) όσο και την αισθητική.   

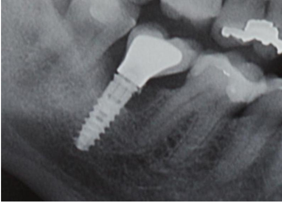
ΑΡΧΙΚΗ ΑΚΤΙΝΟΓΡΑΦΙΚΗ ΕΙΚΟΝΑ

ΤΕΛΙΚΗ ΑΚΤΙΝΟΓΡΑΦΙΚΗ ΕΙΚΟΝΑ  

ΕΜΦΥΤΕΥΜΑΤΑ ΣΤΙΣ ΟΠΙΣΘΙΕΣ ΖΩΝΕΣ (ΑΝΩ-ΚΑΤΩ ΓΝΑΘΟΥ) ΑΡΧΙΚΗ ΕΙΚΟΝΑ

ΤΕΛΙΚΗ ΚΛΙΝΙΚΗ ΕΙΚΟΝΑ

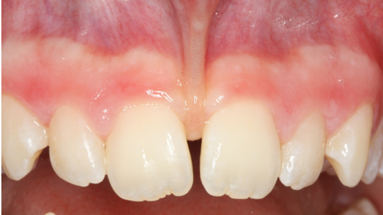
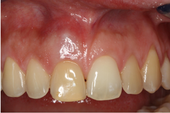
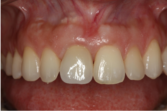
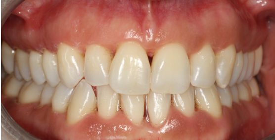
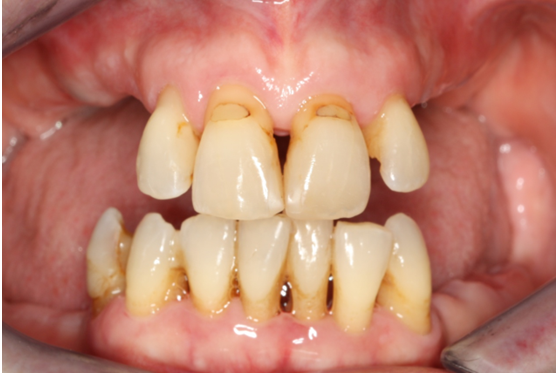
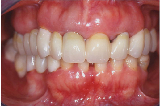
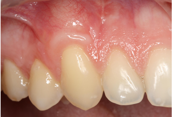
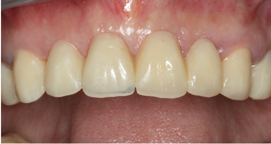
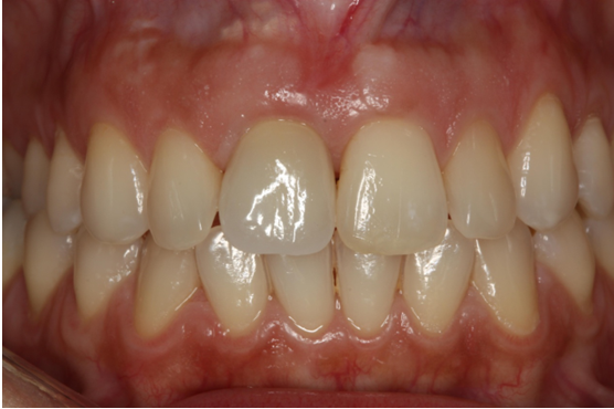
6. Εμφυτεύματα στην πρόσθια περιοχή (αισθητική ζώνη) 

Στην ασθενή οι τομείς στην άνω γνάθο είχαν χαθεί λόγω τερηδόνας. Στην περιοχή τοποθετήθηκαν δύο εμφυτεύματα και έγινε μία γέφυρα τεσσάρων τεμαχίων (δοντιών) επί αυτών.

 

Η κλινική εικόνα μετά την τελική αποκατάσταση (γέφυρα) κρίνεται απόλυτα επιτυχής.

Εμφυτεύματα στην πρόσθια περιοχή (αισθητική ζώνη) 
Αρχική Φωτογραφία

Εμφυτεύματα στην πρόσθια περιοχή (αισθητική ζώνη) 
Τελική Φωτογραφία

Εμφυτεύματα στην πρόσθια περιοχή (αισθητική ζώνη)   
Τελική Ακτινογραφία 

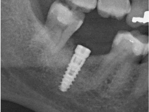
7. Χειρουργική Θεραπεία Περιεμφυτευματίτιδας

Ασθενής ετών 57 προσήλθε στο ιατρείο παραπονούμενος για ήπιο πόνο, φλεγμονή και πυορροή στο εμφύτευμα που είχε τοποθετηθεί προ τριετίας. Κλινικά και ακτινογραφικά διαπιστώθηκε οστική απώλεια γύρω από το εμφύτευμα (οστική βλάβη- κρατήρας). Ακολούθησε χειρουργική διάνοιξη στην περιοχή, καθαρισμός του εμφυτεύματος, τοποθέτηση οστικού μοσχεύματος και μεμβράνης (οστική ανάπλαση).

Έξι μήνες μετά κλινικά η βλάβη έχει επαλειφθεί και ακτινογραφικά εμφανίζεται οστική πλήρωση αυτής. 

Περιεμφυτευματική βλάβη - Αρχική Ακτινογραφία 

Περιεμφυτευματική βλάβη - Τελική Ακτινογραφία 

Περιεμφυτευματική βλάβη - Αρχική Κλινηκή Εικόνα 

Περιεμφυτευματική βλάβη (ανάπλαση)

8. Κάλυψη απογυμνωμένης ρίζας

Η ασθενής εμφάνιζε προχωρημένη υποχώρηση (υφίζηση) των ούλων στον κυνόδοντα άνω δεξιά. Εφαρμόσθηκε μόσχευμα ούλων που λήφθηκε από την υπερώα και το αποτέλεσμα οδήγησε σε πλήρη κάλυψη της ρίζας του δοντιού.

Αρχική κλινική φωτογραφία

Kλινική εικόνα επούλωσης τρεις μήνες αργότερα

9. Κάλυψη απογυμνωμένων ριζών στην περιοχή κάτω δεξιά (#44-41)

Η ασθενής παρουσίαζε απογύμνωση των ριζών του 1ου προγομφίου και κυνόδοντα κάτω δεξιά και περιορισμένη υποχώρηση ριζών στους κάτω τομείς δεξιά. Πραγματοποιήθηκε πλαστική χειρουργική του περιοδοντίου με τη λήψη μοσχευμάτων ούλων από την περιοχή της υπερώας, η οποία οδήγησε σε πλήρη κάλυψη των ριζών όλων των δοντιών και στους τομείς επιτεύχθηκε και αύξηση του πάχους των ιστών τοπικά. 

ΑΡΧΙΚΗ ΚΛΙΝΙΚΗ ΕΙΚΟΝΑ

ΕΙΚΟΝΑ ΕΠΟΥΛΩΣΗΣ 2 ΜΗΝΕΣ ΜΕΤΑ

10. Ουλεκτομές με εφαρμογές Laser

Ασθενής ετών 69 προσήλθε στο ιατρείο με εκτεταμένη διόγκωση των ούλων (υπερπλασία). Είχε κάνει μεταμόσχευση ήπατος και λάμβανε κυκλοσπορίνη και αντιυπερτασική αγωγή.
Έγιναν ουλεκτομές με την εφαρμογή του laser μαλακών ιστών Nd-Yag. Η εικόνα στα πρόσθια δόντια της άνω γνάθου ένα μήνα μετά την επέμβαση είναι εξαιρετική.  

ΑΡΧΙΚΗ ΚΛΙΝΙΚΗ ΕΙΚΟΝΑ

ΤΕΛΙΚΗ ΚΛΙΝΙΚΗ ΕΙΚΟΝΑ

11. Χαλινεκτομή σε μικρό ασθενή

Υπερτροφικός χαλινός της άνω γνάθου σε ασθενή 5 ετών. Έγινε εκτομή χαλινού με laser Nd-Yag (laser μαλακών ιστών) με ελάχιστη ενόχληση για το μικρό μας ασθενή. Η επούλωση 10 μέρες αργότερα κρίνεται ικανοποιητική.

ΑΡΧΙΚΗ ΚΛΙΝΙΚΗ ΕΙΚΟΝΑ

ΤΕΛΙΚΗ ΚΑΤΑΣΤΑΣΗ

12. Χαλινεκτομή σε νεαρή ασθενή

Υπερτροφικός χαλινός της άνω γνάθου σε νεαρή ασθενή 10 ετών. Έγινε εκτομή χαλινού με laser Nd-Yag (laser μαλακών ιστών) με ελάχιστη ενόχληση. Η επούλωση 10 μέρες αργότερα κρίνεται εξαιρετική και οι τομείς της άνω γνάθου έχουν συμπλησιάσει.

ΑΡΧΙΚΗ ΚΛΙΝΙΚΗ ΕΙΚΟΝΑ

ΤΕΛΙΚΗ ΚΛΙΝΙΚΗ ΕΙΚΟΝΑ

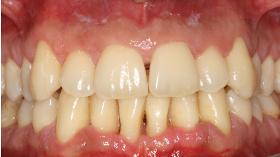
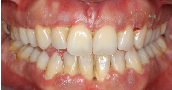
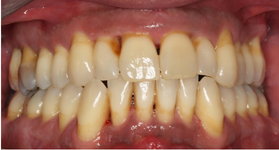
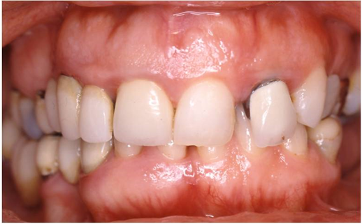
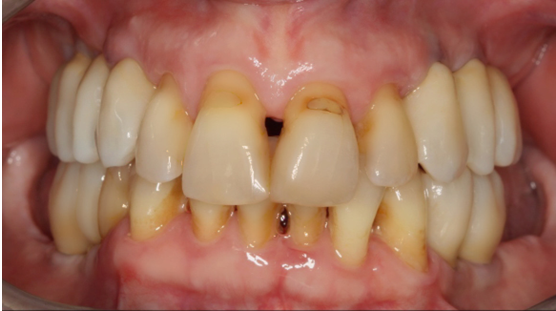
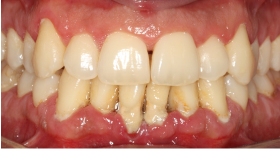
13. Θεραπεία χρόνιας περιοδοντίτιδας

Ασθενής ετών 50 προσήλθε στο ιατρείο με κύρια ενόχληση την αιμορραγία των ούλων και τη μετακίνηση των δοντιών. Οι περιοδοντικοί ιστοί ήταν ρόδινοι και εντοπισμένα ερυθροί, ενώ οι μεσοδόντιες θηλές διογκωμένες. Πολλά δόντια εμφάνιζαν υφιζήσεις, ενώ χαρακτηριστική ήταν η υπερέκφυση και απόκλιση του πλαγίου τομέα άνω αριστερά.  

 

Παράλληλα με την περιοδοντική θεραπεία έγινε η αφαίρεση των παλαιών προσθετικών εργασιών και τοποθέτηση νέων μεταβατικών (προσωρινών) αποκαταστάσεων. Μετά τη μη χειρουργική θεραπεία παρατηρείται απουσία φλεγμονής. 

ΑΡΧΙΚΗ ΚΛΙΝΙΚΗ ΕΙΚΟΝΑ

ΤΕΛΙΚΗ ΚΑΤΑΣΤΑΣΗ

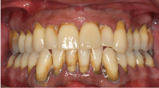
14. Θεραπεία χρόνιας περιοδοντίτιδας σε βαρύ καπνιστή

Ο ασθενής ηλικίας 40 ετών παρουσίαζε περιοδοντική νόσο προχωρημένης βαρύτητας και ήταν βαρύς καπνιστής. Ανέφερε πόνο στα ούλα, αιμορραγία κατά το βούρτσισμα και έντονη κακοσμία. Παράλληλα με τη συντηρητική περιοδοντική θεραπεία, δόθηκε έμφαση στη μείωση του καπνίσματος. Στην κλινική εικόνα κατά την επανεξέταση παρατηρείται απουσία φλεγμονής και ο ασθενής έχει συμμορφωθεί στη στοματική υγιεινή, ενώ έχει μειώσει αισθητά το κάπνισμα.

ΑΡΧΙΚΗ ΚΛΙΝΙΚΗ ΕΙΚΟΝΑ

ΤΕΛΙΚΗ ΚΛΙΝΙΚΗ ΕΙΚΟΝΑ

15. Θεραπεία χρόνιας περιοδοντίτιδας σε καπνιστή

Ο ασθενής ηλικίας 50 ετών παρουσίαζε περιοδοντική νόσο προχωρημένης βαρύτητας και ήταν βαρύς καπνιστής. Ανέφερε πόνο στα ούλα, αιμορραγία και έντονη κακοσμία. Παράλληλα με την περιοδοντική θεραπεία, δόθηκε έμφαση στη μείωση του καπνίσματος. Στην κλινική εικόνα κατά την επανεξέταση παρατηρείται απουσία φλεγμονής. 

ΑΡΧΙΚΗ ΚΛΙΝΙΚΗ ΕΙΚΟΝΑ

ΤΕΛΙΚΗ ΚΑΤΑΣΤΑΣΗ

Επικοινωνήστε

 

με την Περιοδοντολόγο - Εμφυτευματολόγο Αλεξάνδρα Πάντου,

 

στα Ιωάννινα.

Αλεξάνδρα Πάντου (DDS, MSc)

Χειρουργός Οδοντίατρος
Περιοδοντολόγος – Εμφυτευματολόγος

 

Αποκλειστική ενασχόληση με
​Περιοδοντολογία – Εμφυτεύματα

ΔΙΕΥΘΥΝΣΗ
28ης Οκτωβρίου 41, Ιωάννινα

2ος όροφος (εντός στοάς)
Τηλ.: +302651020086

 

Ωράριο Ιατρείου:

Δευτέρα 09:30 - 17:00
Τρίτη 09:30 - 16:30
Τετάρτη 11:00 - 18:30
Πέμπτη 09:30 - 17:00
Παρασκευή 09:30 - 16:00

Φόρμα Επικοινωνίας

hCaptcha