ΠΕΡΙΟΔΟΝΤΙΚΗ ΘΕΡΑΠΕΙΑ – ΘΕΡΑΠΕΙΑ ΜΕ LASER
Υγιή και λαμπερά χαμόγελα
1.Τι είναι η Περιοδοντολογία;
Η Περιοδοντολογία αποτελεί εκείνη την ειδικότητα της Οδοντιατρικής που αφορά στην αντιμετώπιση των νόσων του περιοδοντίου, δηλαδή των νόσων της στηρικτικής συσκευής του δοντιού (τα ούλα και το οστό της γνάθου).
2. Τι είναι περιοδοντική νόσος και πώς θεραπεύεται;
Οι περιοδοντικοί νόσοι είναι η ουλίτιδα αλλά και η περιοδοντίτιδα, που μπορεί και να απειλήσει την παραμονή των δοντιών στο φραγμό. Το βασικό αίτιο είναι η οδοντική μικροβιακή πλάκα που αρχικά αποικίζει την περιοχή μεταξύ δοντιών και ούλων και, αν δεν απομακρυνθεί σωστά, αυξάνεται στον αριθμό και γίνεται παθογόνος. Τότε προκαλείται τοπικά φλεγμονή στα ούλα (ουλίτιδα), τα οποία αρχίζουν να ματώνουν και διογκώνονται.
Αν η ουλίτιδα δεν θεραπευθεί, τα μικρόβια υπερνικούν τους μηχανισμούς άμυνας και αρχίζουν και μετακινούνται κάτω από τα ούλα, καταστρέφοντας παράλληλα με τις τοξίνες τους το οστό που στηρίζει το δόντι, όπως και τις ίνες του περιοδοντίου, με αποτέλεσμα να δημιουργούνται θύλακοι (περιοδοντικές βλάβες). Όσο εξελίσσεται η νόσος, τόσο οι βλάβες αυξάνονται, το οστό καταστρέφεται και το δόντι αρχίζει να κινείται. Αν η απώλεια των στηρικτικών ιστών είναι μεγάλου βαθμού, απειλείται ακόμη και η παραμονή των δοντιών στο φραγμό.
Η περιοδοντίτιδα δεν εμφανίζει πόνο. Το πιο σύνηθες σύμπτωμα είναι η αιμορραγία. Τα ούλα εμφανίζονται έντονα κόκκινα, «πρησμένα», ευαίσθητα και ματώνουν πολύ εύκολα. Συνήθως τα ούλα υποχωρούν και απογυμνώνονται οι ρίζες των δοντιών (υφιζήσεις). Η κακοσμία του στόματος είναι έντονη, τα δόντια αλλάζουν θέση και εμφανίζουν διαφορετικού βαθμού κινητικότητα.
Παράγοντες που επηρεάζουν αρνητικά και επιβαρύνουν είναι το κάπνισμα, η κληρονομικότητα, νόσοι όπως ο Σακχαρώδης Διαβήτης, το stress, οι κακότεχνες προσθετικές εργασίες, ο βρυγμός (τρίξιμο δοντιών) και η λήψη φαρμάκων και ορμονικών σκευασμάτων.
3. Πώς θεραπεύονται τα προβλήματα των ούλων;
Η θεραπεία των περιοδοντικών νόσων διακρίνεται σε τρία μεγάλα μέρη:
α) στη συντηρητική (μη χειρουργική), όπου γίνεται αφαίρεση του μικροβιακού παράγοντα και έλεγχος της φλεγμονής {υπερουλική και υπο-ουλική (ριζική) απόξεση, GTB therapy, θεραπεία με laser, χρήση αντιβιοτικών}
β) στη χειρουργική (ουλεκτομές, ουλοπλαστική, κρημνοί περιοδοντίου) καθώς και
γ) επανεξέταση στη φάση διατήρησης του αποτελέσματος, που αποτελεί κεφαλαιώδους σημασίας για τη μακροχρόνια διατήρηση των δοντιών.
Συντηρητική θεραπεία:
Πρώτο βήμα είναι η διδασκαλία και η εξάσκηση στη στοματική υγιεινή...
Έπειτα, με τη χρήση σύγχρονων συσκευών υπερήχων, αφαιρείται η πέτρα υπερουλικά και προχωρώντας υποουλικά μαζί με τη χρήση ειδικών εργαλείων αφαιρούνται τόσο η πέτρα, όσο και οι κατεστραμμένοι περιοδοντικοί ιστοί και τα μικρόβια από τις ριζικές επιφάνειες.
Οι ριζικές αποξέσεις γίνονται πάντα με τοπική αναισθησία και ο ασθενής δεν πονά, τόσο κατά τη διάρκεια της θεραπείας, όσο και μετά τη θεραπεία.
Μεγάλο όφελος στη θεραπεία προκαλεί και η εφαρμογή laser μαλακών ιστών, εφόσον προάγει τόσο τη θεραπεία (προκαλεί τοπικά απολύμανση και αποστείρωση της περιοχής, μειώνοντας παράλληλα το μικροβιακό φορτίο) όσο και την επούλωση (προσδίδει ενέργεια στα κύτταρα των περιοδοντικών ιστών για καλύτερη πρόσφυση στις καθαρές ρίζες).
Χειρουργική θεραπεία: Αν μετά το πέρας της συντηρητικής θεραπείας, παραμείνουν βαθιές περιοδοντικές βλάβες, ακολουθεί η χειρουργική θεραπεία με στόχο την εξάλειψη των βλαβών, καθώς και τη διαμόρφωση των ιστών έτσι ώστε να διευκολύνεται η στοματική υγιεινή. Ο περιοδοντολόγος εφαρμόζει διάφορες τεχνικές (ουλεκτομές, περιοδοντικοί κρημνοί, πλαστική χειρουργική, οστική ανάπλαση με την εφαρμογή οστικών μοσχευμάτων, μεμβράνες ή αυξητικούς παράγοντες), ώστε να βελτιωθεί η πρόγνωση των δοντιών και να διατηρηθούν αυτά στο φραγμό επί μακρόν.
Διατήρηση του αποτελέσματος: Μετά την ολοκλήρωση της περιοδοντικής θεραπείας ο ασθενής εντάσσεται σε ένα πρόγραμμα επανεξετάσεων όπου ποικίλλει ανά 3 έως 6 μήνες, και έχει ως στόχο τη συντήρηση του αποτελέσματος που έχει επιτευχθεί από την ενεργό θεραπεία
Δείτε περισσότερα για τη διατήρηση του θεραπευτικού αποτελέσματος
4. Η περιοδοντική νόσος κληρονομείται;
Η ευπάθεια κάθε ατόμου στην περιοδοντική νόσο και το γεγονός είναι ένα χαρακτηριστικό που ελέγχεται γενετικά. Λάθος είναι, όμως, να πιστεύουμε ότι η γενετική προδιάθεση και η κληρονομικότητα μόνο αρκούν για την ανάπτυξη περιοδοντικής νόσου.
Απαραίτητη προϋπόθεση είναι η παρουσία μικροβίων.
Πολύ συχνά άτομα που εμφανίζουν κάποια βαριά και επιθετική μορφή περιοδοντίτιδας έχουν δικούς τους στενούς συγγενείς (γονείς και αδέρφια) με την ίδια νόσο. Άρα, υπάρχει κληρονομική προδιάθεση για την ανάπτυξη περιοδοντίτιδας, όταν παράλληλα υπάρχει και ο μικροβιακός παράγοντας.
Αναλυτικότερα, ισχύει ότι:
Βακτήρια + γενετική προδιάθεση= περιοδοντίτιδα
Βακτήρια + γενετική προδιάθεση= ουλίτιδα
Βακτήρια + γενετική προδιάθεση= υγεία
Έχοντας κατά νου ότι δεν μπορούμε να ελέγξουμε τον παράγοντα της κληρονομικότητας, η πρόληψη και η θεραπεία της περιοδοντικής νόσου βασίζονται αποκλειστικά στον έλεγχο της οδοντικής μικροβιακής πλάκας.
5. Oι διατροφικές συνήθειες επηρεάζουν την υγεία των ούλων;
Στην περιοδοντική νόσο, αντίθετα με την τερηδόνα, οι διατροφικές συνήθειες δεν παίζουν ουσιαστικό και σημαντικό ρόλο, αν και η διατροφή με λαχανικά και φρούτα συμβάλλουν θετικά στη γενικότερη στοματική υγεία.
6. Ποια είναι η σχέση των συνωστισμένων δοντιών και των στομάτων με ορθοδοντικά προβλήματα με την περιοδοντική υγεία;
Τα άτομα που περιποιούνται επαρκώς και ικανοποιητικά το στόμα τους δεν παρουσιάζουν μεγαλύτερο κίνδυνο να εμφανίσουν περιοδοντίτιδα, έστω και αν έχουν ορθοδοντικά προβλήματα και η θέση των δοντιών στο φραγμό είναι κακή. Σε άτομα που η φροντίδα του στόματος είναι πλημμελής, τότε ο συνωστισμός των δοντιών δρα αρνητικά, επειδή δυσχεραίνει τη στοματική υγιεινή και ευνοεί την ανάπτυξη των μικροβίων, με αποτέλεσμα να αυξάνεται η πιθανότητα εμφάνισης ουλίτιδας και περιοδοντίτιδας.
Οι ασθενείς που έχουν περιοδοντικό πρόβλημα, μετά την περιοδοντική θεραπεία και τον έλεγχο της φλεγμονής, συνήθως ρυθμίζουν και τα προβλήματα από την ανώμαλη θέση των δοντιών, όχι μόνο για λόγους αισθητικής, αλλά και επειδή βελτιώνουν την πρόγνωση των δοντιών.
7. Πώς επιδρά το κάπνισμα στην υγεία των ούλων;
Παράλληλα με τον ενοχοποιητικό ρόλο του καπνίσματος στη γενικότερη υγεία μας, η επίδρασή του στη στοματική υγεία είναι εξίσου σημαντική. Το κάπνισμα αποτελεί έναν από τους αποδεδειγμένους επιβαρυντικούς παράγοντες για την εμφάνιση περιοδοντικής νόσου. Αν και δεν θεωρείται ως ο κύριος αιτιολογικός παράγοντας για την περιοδοντική νόσο, αυξάνει σημαντικά την πιθανότητα ανάπτυξής της, ενώ μειώνει την αποτελεσματικότητα της θεραπείας.
Συγκεκριμένα, οι καπνιστές εμφανίζουν πολύ υψηλά ποσοστά περιοδοντικής νόσου, η βαρύτητα της οποίας είναι μεγαλύτερη και η εξέλιξή της ταχύτερη, σε σχέση με τους μη καπνιστές. Επιπλέον, αντιδρούν χειρότερα στην περιοδοντική θεραπεία απ’ ό,τι τα άτομα που δεν καπνίζουν. Οι μηχανισμοί με τους οποίους δρα το κάπνισμα αφορούν τόσο τη σύσπαση των αγγείων και την ελάττωση της ροής του αίματος σε αυτά, όσο και τη μειωμένη άμυνα του οργανισμού έναντι στα βακτήρια.
Η αρνητική δράση του καπνίσματος είναι ανεξάρτητη από τον αν εισπνέεται ο καπνός ή όχι και σχετίζεται άμεσα με τον αριθμό των τσιγάρων που γίνονται. Το μέγιστο αρνητικό αποτέλεσμα επιτυγχάνεται με τη χρήση 1 πακέτου και άνω κάθε μέρα, ενώ η αρνητική δράση μειώνεται αν ο αριθμός των τσιγάρων δεν υπερβαίνει τα 10 ημερησίως. Τα ούλα ασθενών που έχουν κόψει το κάπνισμα, ακόμη και από τους πρώτους μήνες αρχίζουν να παίρνουν τα χαρακτηριστικά εκείνα που έχουν τα ούλα των μη καπνιστών και η διακοπή του καπνίσματος εξασφαλίζει τόσο την καλύτερη στοματική και περιοδοντική υγεία, όσο και την αποτελεσματική θεραπεία της περιοδοντική νόσου.
Περισσότερα για τη Στοματική Υγιεινή:
-
Στοματική Υγιεινή. Τι πρέπει να γνωρίζουμε;
-
Κάθε πότε πρέπει να κάνουμε στοματική υγιεινή;
-
Ποια είναι τα απαραίτητα μέσα στοματικής υγιεινής;
-
Πώς επιλέγονται τα πλέον κατάλληλα μηχανικά μέσα;
-
Είναι οι ηλεκτρικές οδοντόβουρτσες τόσο αποτελεσματικές όσο οι κλασικές;
-
Πόσο καιρό μπορούμε να χρησιμοποιήσουμε την ίδια οδοντόβουρτσα;
-
ΟΔΟΝΤΟΒΟΥΡΤΣΕΣ
-
ΜΕΣΟΔΟΝΤΙΑ ΒΟΥΡΤΣΑΚΙΑ ΚΑΙ ΝΗΜΑΤΑ
-
Ποιος είναι ο καλύτερος τρόπος βουρτσίσματος των δοντιών.
-
Είναι απαραίτητο το νήμα στη στοματική υγιεινή;
-
Ποιος είναι ο ρόλος των χημικών μέσων στην καθημερινή στοματική υγιεινή;
-
Στα άτομα που έχουν εμφυτεύματα ο τρόπος στοματικής υγιεινής είναι διαφορετικός;
Περισσότερα για τη διατήρηση του θεραπευτικού αποτελέσματος:
-
Διατήρηση Θεραπευτικού Αποτελέσματος. Τι πρέπει να γνωρίζουμε;
Με την περιοδοντική θεραπεία επιδιώκεται η αποκατάσταση της υγείας των περιοδοντικών ιστών και την δημιουργία συνθηκών που θα διευκολύνουν τη διατήρησή της και ταυτόχρονα θα αναστείλουν την εξέλιξη της περιοδοντικής νόσου. Για τη διατήρηση του θεραπευτικού αποτελέσματος της περιοδοντικής θεραπείας σε μακροχρόνια βάση απαιτείται συνεχής επανεξέταση από τον οδοντίατρο ή τον περιοδοντολόγο.
-
Πώς εξασφαλίζεται η διατήρηση του αποτελέσματος της περιοδοντικής νόσου;
-
Πόσο αναγκαία είναι η επανεξέταση του ασθενή;
-
Τι περιλαμβάνει η διατήρηση του θεραπευτικού αποτελέσματος;
-
Πόσο συχνά γίνεται η επανεξέταση;
-
Ποιοι παράγοντες καθορίζουν τη συχνότητα των επανεξετάσεων;

Κλινική Εφαρμογή Συσκευών Laser στην Περιοδοντολογία
H κλινική εφαρμογή των Laser στην Περιοδοντολογία βασίζεται κυρίως στην αντιμικροβιακή και αιμοστατική τους δράση και για τα περισσότερα Laser υπό συγκεκριμένες συνθήκες στη βιοδιεγερτική τους δράση, η οποία συμβάλλει στην προαγωγή της επούλωσης.
Τα Laser πλεονεκτούν έναντι των παραδοσιακών χειρουργικών τεχνικών, εφόσον η αφαίρεση των ιστών είναι αναίμακτη. Ως τεχνική βρίσκουν έδαφος σε μία πληθώρα χειρουργικών επεμβάσεων, όπως διόρθωση του περιγράμματος των ούλων (ουλεκτομή, ουλοπλαστική), εκτομή υπερτροφικού χαλινού, αφαίρεση καλοήθων όγκων, λήψη βιοψιών, αποκάλυψη εμφυτευμάτων, αφαίρεση ουλικής καλύπτρας και αντιμετώπιση της αύξησης του όγκου των ούλων φαρμακευτικής αιτιολογίας.
Τα Laser έχουν εφαρμοσθεί στη θεραπεία της περιοδοντίτιδας ως μονοθεραπεία, κυρίως αυτά της οικογένειας του ερβίου, τα οποία διαθέτουν την ικανότητα αφαίρεσης των σκληρών τρυγιακών εναποθέσεων ή ως συμπληρωματική θεραπεία στη φάση ελέγχου της φλεγμονής, κυρίως το Nd:Yag και τα διοδικά laser.
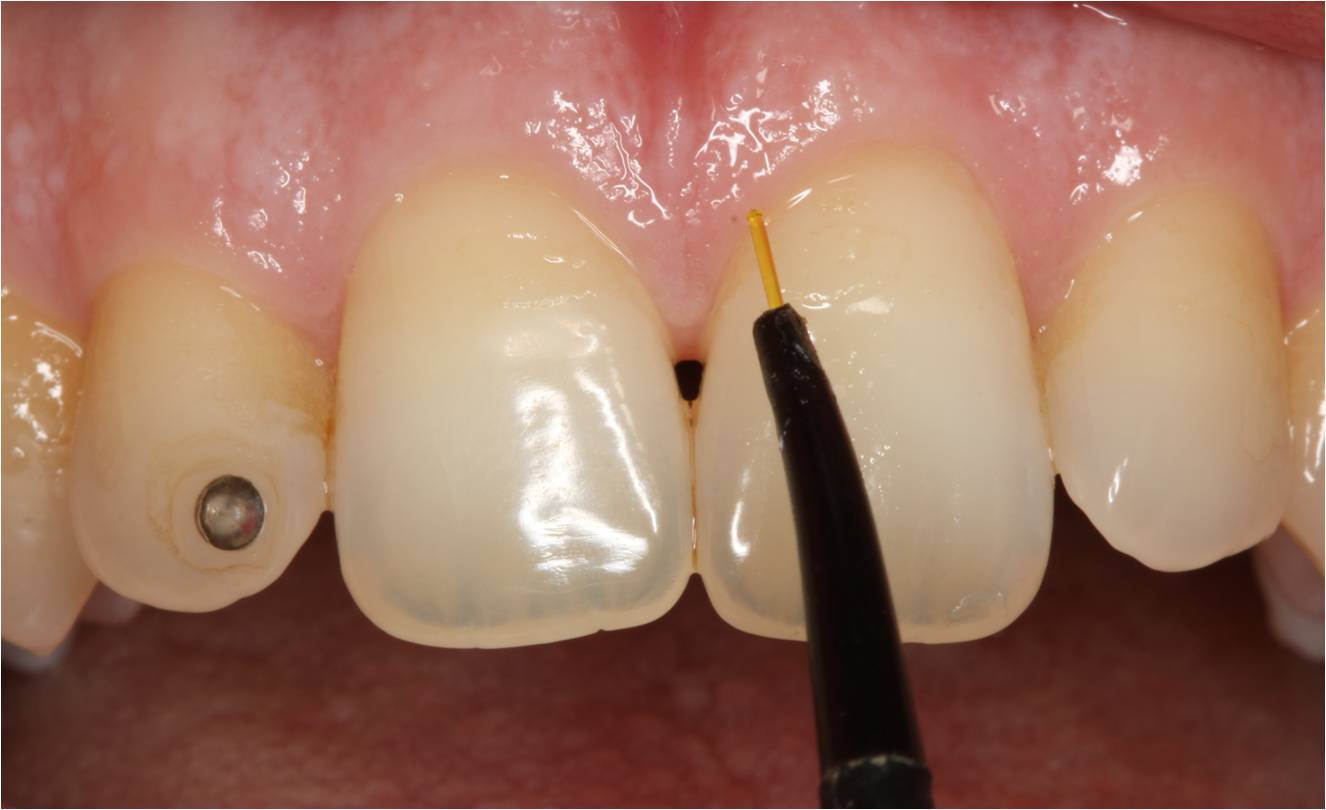
Στο περιοδοντολογικό ιατρείο της Αλεξάνδρας Πάντου, στα Ιωάννινα, η εφαρμογή σύγχρονου laser μαλακών ιστών (Nd-Yag laser) γίνεται τόσο κατά τη συντηρητική περιοδοντική θεραπεία όσο και σε περιπτώσεις χειρουργικής. Αποτελεί ιδιαίτερα σύγχρονη και ανώδυνη μέθοδο θεραπευτικής προσέγγισης.
● Συγκεκριμένα, κατά τη συντηρητική θεραπεία, το laser βοηθά στον έλεγχο της φλεγμονής, στην απολύμανση της περιοχής, εφόσον μειώνει το μικροβιακό φορτίο και, καθώς διεισδύει στους ιστούς, μεταφέρει ενέργεια που επιταχύνει την επούλωση και βελτιώνει σημαντικά την πρόσφυση των ούλων στις ριζικές επιφάνειες. Έτσι, η συνδυασμένη χρήση του laser στη συντηρητική θεραπεία δρα θετικά και σε πολλά περιστατικά ελαττώνει ή και εξαλείφει τις πιθανότητες για περαιτέρω χειρουργική θεραπεία.
● Κατά τη χειρουργική θεραπεία, το laser εφαρμόζεται σε περιπτώσεις διαμόρφωσης των ούλων για τη βελτίωση του χαμόγελου (ουλεκτομές, ουλοπλαστική), κατά την αφαίρεση μελανών χρωστικών και στίξεων από τα ούλα, στις χαλινεκτομές, στις βιοψίες, καθώς και κατά την αποκάλυψη εγκλείστων δοντιών ακόμη και σε μικρούς ασθενείς με μεγάλη επιτυχία.
Η εφαρμογή του laser στη χειρουργική του περιοδοντίου αποτελεί μια αναίμακτη μέθοδο, όπου η επούλωση επισυμβαίνει σε μικρότερο χρονικό διάστημα και επιτυγχάνεται το άριστο θεραπευτικό αποτέλεσμα πιο γρήγορα, μειώνοντας το συνολικό χρόνο θεραπείας. Επιπρόσθετα, είναι ανώδυνη τεχνική που είναι ιδιαιτέρως ανεκτή από τον ασθενή, εφόσον εκμηδενίζει την ταλαιπωρία του.
Το Nd-Yag laser εμφανίζει βιοδιεγερτική δράση, εφόσον μεταφέρει ενέργεια στα κύτταρα που είναι υπεύθυνα για την επούλωση των βλαβών και των τραυμάτων, τα διεγείρει και τα ενεργοποιεί, ώστε να επιταχύνει τη διαδικασία. Στην αρχή της βιοενεργοποίησης βρίσκει έδαφος και η θεραπεία απλού έρπητα των χειλέων ταχύτατα και ανώδυνα

Επικοινωνήστε
με την Περιοδοντολόγο - Εμφυτευματολόγο Αλεξάνδρα Πάντου,
στα Ιωάννινα.
Αλεξάνδρα Πάντου (DDS, MSc)
Χειρουργός Οδοντίατρος
Περιοδοντολόγος – Εμφυτευματολόγος
Αποκλειστική ενασχόληση με
Περιοδοντολογία – Εμφυτεύματα
Ωράριο Ιατρείου:
Δευτέρα 09:30 - 17:00
Τρίτη 09:30 - 16:30
Τετάρτη 11:00 - 18:30
Πέμπτη 09:30 - 17:00
Παρασκευή 09:30 - 16:00